23+ Free Gingival Grafts PNG

What are the steps of the free gingival graft technique?

23+ Free Gingival Grafts PNG. What are the steps of the free gingival graft technique? The free gingival graft (fgg) is a surgical procedure frequently used in periodontics to increase the amount of keratinized tissue surrounding a tooth or a dental implant.

Treatment Of Gingival Recession Using Free Gingival Graft With Fibrin Fibronectin Sealing System A Novel Approach Srinivas B Rupa N Halini Kumari K V Rajender A Reddy M N J Pharm Bioall Sci
Treatment Of Gingival Recession Using Free Gingival Graft With Fibrin Fibronectin Sealing System A Novel Approach Srinivas B Rupa N Halini Kumari K V Rajender A Reddy M N J Pharm Bioall Sci from www.jpbsonline.org
Free gingival autograft is one of the most common techniques used for a gingival recession in areas of inadequate attached gingiva in the mandibular anterior region. The literatures on fggs have reported different outcomes with percentages of root. Learn vocabulary, terms and more with flashcards, games and other study tools.

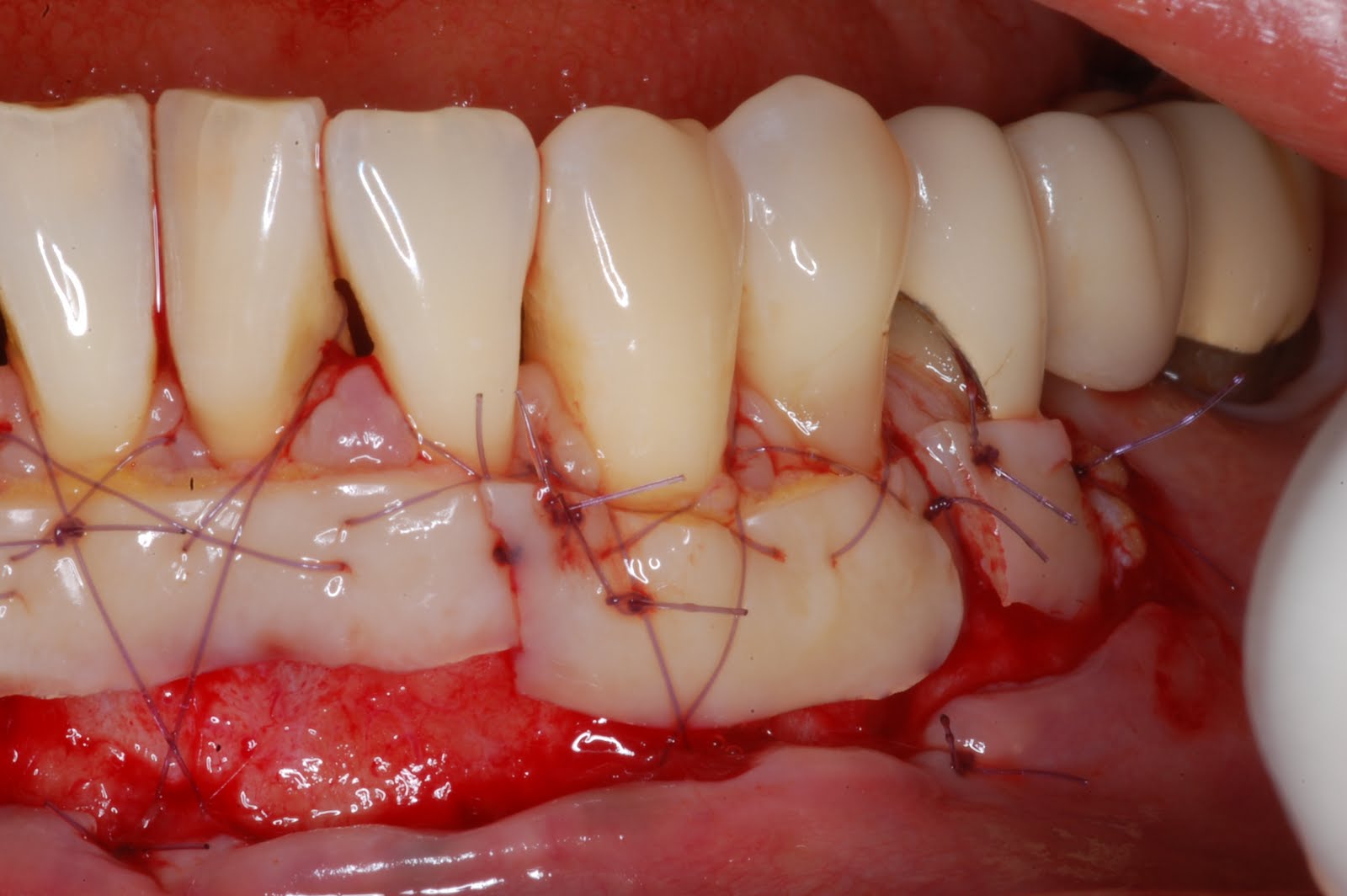
Free gingival graft was obtained from the palate and grafted on the buccal side of interforaminal area.

You'll likely get this type of graft if your gums are. Gingival recession, before connective tissue graft. A free gingival graft (fgg) is placed with the goal of increasing the zone of attached gingiva. The surgical techniques involved in grafting free gingival tissue from harvest to suturing.

23+ Free Gingival Grafts PNG

Free gingival autograft to increase keratinized tissue. Histological evaluation}, author={zaklina menceva and oliver dimitrovski and mirjana popovska and spiro spasovski and. Gingival soft tissue grafts that are completely detached from one site and transferred to a remote site as previously noted, free gingival grafts are disconnected from their. Free gingival graft on wn network delivers the latest videos and editable pages for news & events, including entertainment, music, sports, science and more, sign up and share your playlists. Free gingival autograft is one of the most common techniques used for a gingival recession in areas of inadequate attached gingiva in the mandibular anterior region. Free gingival graft (fgg) procedure: